犬の僧帽弁閉鎖不全症
Mitral valve insufficiency
(心臓の弁膜症)
【心臓の構造と働き】
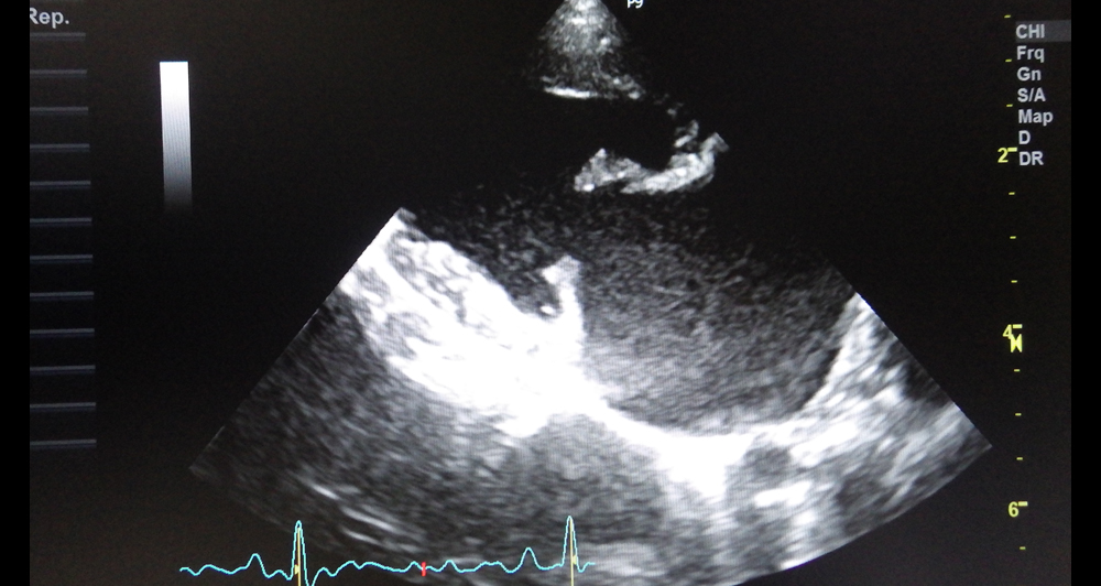
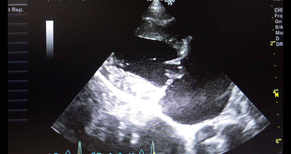
心臓の中では血液は一方通行で流れています。そのために心臓の各部屋の間には弁がついており、その一つが僧帽弁です。

加齢にともない弁やそれを支える腱索が変性し、痛んでくるため、弁がちゃんと閉じなくなってきて起こります。

中年齢から高年齢で発症してきます。
小・中型犬に多く、キャバリア、プードル、チワワなどの犬種が代表的です。

心臓の中の血液の逆流量が少ない場合は無症状ですが、逆流量が多くなると運動不耐性や発咳などの症状が現れます。
重症になるとうっ血性心不全を起こして、肺に水がたまったり(肺水腫)、呼吸状態が悪くなったりして、失神を起こしたりすることもあります。

内服薬による内科的治療を行います、心臓の負荷を軽減し、生活の質の改善を行います。
うっ血性心不全や肺水腫を起こしている場合には、入院で酸素室管理や利尿剤の投与などを行います。
根本的治療は外科手術による弁の再建になりますが、当院では行っておらず、希望される方には実施している動物病院をご紹介します。

加齢性の病気のため、中年齢になったワンちゃんは年に一回は健康診断を受けましょう。
参考 SA Medicine 79 インフォームドコンセントガイド







